شکستگی مچ پا از اتفاقات بسیار دردناکی است که احتمال دارد برای هرکسی پیش آید. مچ یا قوزک پا از استخوانهای مختلفی مانند درشتنی (فیبولا)، نازک نی (تیبیا) و تالوس تشکیل شده است. اگر هرکدام از این استخوانها دچار شکستگی شوند به آن شکستگی قوزک پا یا مچ پا گفته میشود. شدت و میزان شکستگی هرکدام از این استخوانها تعیینکننده روش درمانی مناسب آن است.
آسیب و بیماری های مچ پا صرفاً شامل شکستگی نمیشود. پارگی یا کشیدگی رباط که در اثر پیچخوردن مچ پا ایجاد میشود، از دیگر آسیبهای رایج این قسمت است. ما در این مقاله سعی داریم انواع شکستگی، علت شکستگی و روشهای درمان و مراقبت های بعد از شکستگی قوزک پا را بیان کنیم. لطفاً تا انتها همراهمان باشید.
انواع شکستگی مچ پا
بهطورکلی شکستگیهای مچ پا یا با جابهجایی هستند یا بدون جابهجایی. در شکستگی با جابهجایی، استخوان از موقعیت خود خارج میشود؛ اما در شکستگیهای بدون جابهجایی، استخوان در موقعیت صحیح خود باقی میماند. شکستگیهای همراه با جابهجایی عموماً به جراحیهای ترمیمی نیاز دارند.

نوع و شدت شکستگی مچ پا به میزان نیرویی که به آن وارد شده، بستگی دارد. در منابع گوناگون، موارد زیر به عنوان انواع مختلفی از شکستگیها ذکر شده است:
- شکستگی مالئول خارجی: این نوع رایجترین نوع شکستگی مچ پا است. مالئول، برآمدگی بیرونی مچ پا است که در انتهای نازکنی (فیبولا) قرار دارد و زمانی رخ میدهد که مچ پا پیچ بخورد یا به پهلو خم شود.
- شکستگی مالئول داخلی: مالئول داخلی به برآمدگی داخلی مچ پا گفته میشود که در انتهای درشتنی (تیبیا) قرار دارد.
- شکستگی دوقوزکی یا Bimalleolar ankle fracture: زمانی که قوزک داخلی و خارجی پا دچار شکستگی شود به آن شکستگی دوقوزکی گفته میشود که دومین شکستگی رایج مچ پا است. معمولاً برای ترمیم این نوع آسیب، جراحی نیاز است.
- شکستگی Bimalleolar equivalent: این نوع شکستگی به آسیب همزمان یکی از قوزکها و رباط پا اشاره دارد.
- شکستگی قوزک خلفی پا: شکستگی مالئول خلفی در قسمت پشتی استخوان درشتنی رخ میدهد و معمولاً همزمان با شکستگی قوزک خارجی پا اتفاق میافتد؛ زیرا هر دو دارای اتصالات مشترکی هستند.
- شکستگی سهقوزکی: به شکستگی همزمان مالئول داخلی، خارجی و خلفی اشاره دارد و عموماً برای ترمیم نیاز به جراحی است.
- شکستگی پایلون: شکستگی پایلون در سطح انتهایی استخوان درشت نی رخ میدهد. این قسمت حامل وزن در مفصل است. این نوع شکستگی معمولاً در اثر سقوط از ارتفاع و صدمات رانندگی ایجاد میشود.
- شکستگی Bosworth: از نوع شکستگیهای با جابهجایی است و زمانی ایجاد میشود که قسمتی از استخوان نازکنی در پشت استخوان درشتنی قرار گیرد. جزو شکستگیهای بسیار نادر است و معمولاً به جراحی نیاز دارد. این آسیب زمانی اتفاق میافتد که پا در حالت خوابیده به سمت بیرون بچرخد؛ یعنی وزن روی لبههای بیرونی پا قرار گیرد.
علاوه بر شکستگی، آسیبهای مختلفی هم میتواند در ناحیه مچ پا ایجاد شود. از جمله این آسیبها میتوان به موارد زیر اشاره کرد:
- پیچ خوردگی مچ پا: کشیدهشدن یا پارگی رباط مچ پا؛
- آسیب سندسموز: این آسیب در رباط بالای مچ پا ایجاد میشود و در مقایسه با پیچ خوردگیهای معمولی، دوره درمان طولانیتری دارد.
دلایل شکستگی مچ پا
شکستگی مچ پا زمانی اتفاق میافتد که نیروی بسیار زیادی به ناحیه قوزک یا مچ وارد شود. شایعترین دلایلی که منجر به این نوع شکستگی میشوند، عبارتاند از:
- زمین خوردن یا سقوط: از دست دادن تعادل و زمین خوردن میتواند یکی از دلایل شکستگی مچ پا باشد. اگر حین زمین خوردن، نیروی بسیار زیادی به مچ وارد شود، ممکن است اتفاق ناگواری که از آن میترسیم رخ دهد. راه رفتن روی سطح ناهموار و تاریک و همچنین پوشیدن کفش نامناسب، احتمال زمین خوردن را افزایش میدهد.
- پرش از ارتفاع: پریدن از ارتفاعهای کم، میتواند منجر به شکستگی مچ پا شود. اگر حین فرود آمدن، مچ پا بپیچد یا به پهلو خم شود، باعث وارد آمدن نیروی زیادی به مچ و درنهایت شکستگی آن میشود.
- ورزش: ورزشهای سنگینی که شامل حرکات مداومی مثل پریدن و دویدن است، احتمال شکستگی قوزک پا را افزایش میدهد. از جمله این ورزشها میتوان به فوتبال، بسکتبال و فوتبال آمریکایی اشاره کرد.
- تصادف: تصادفها و ضربات ناگهانی ناشی از آن، میتواند باعث این نوع شکستگی شود. در این قبیل اتفاقات معمولاً فرد آسیبدیده، مجبور به جراحی است.
- استرس و نیروی اضافی مداوم روی مچ پا: وارد شدن استرس و نیروی اضافی مداوم ولی کم میتواند به ترکهای کوچکی در مچ پا منجر شود. این اتفاق معمولاً در دوندهها و ورزشکاران رشتههای مشابه رخ میدهد.
- سقوط جسم سنگین روی مچ پا: سقوط اجسام سنگین باعث لهشدن قوزک پا و شکستگی آن میشود.

علائم شکستگی مچ پا
برخی از افراد، حین وقوع آسیب ممکن است صدای شکستن استخوان را بشنوند. اگر صدایی هم شنیده نشود، سایر علامتهای زیر، میتواند علائم شکستگی مچ پا باشد:
- درد شدید؛
- ورم؛
- کبودی؛
- عدم توانایی در راه رفتن یا حرکت دادن پا؛
- عدم توانایی در تحمل وزن بدن؛
- کج شدن غیرعادی پا که در ظاهر آن مشخص شود؛
- سرگیجه ناشی از درد زیاد؛
- بیرون آمدن استخوان از پوست؛
- خونریزی (در صورتی که استخوان شکسته، پوست را سوراخ کند).
گاهی علائم شکستگی قوزک پا صرفاً به درد محدود میشود. اگر این درد در پی حادثه و نیروی زیادی بروز کند، ممکن است علت آن شکستگیهای کوچکی در مچ پا باشد؛ بنابراین لازم است آن را جدی بگیرید و در اسرع وقت به فوق تخصص مچ پا مراجعه کنید.
عوارض شکستن مچ پا
بسیاری از بیماران، حتی پس از بهبودی کامل، ممکن است تورم و سفتی در مچ پا را تجربه کنند. توان بخشی و فیزیوتراپی برای جلوگیری از این عوارض، مؤثر است. کج جوش خوردن استخوان یا جوش نخوردن استخوان هم از دیگر عوارضی است که امکان دارد آن را تجربه کنید. اگر جراحی کنید، احتمال تجربه عوارضی مثل عفونت، خونریزی، آسیب به عروق خونی و تاندونها و اعصاب وجود دارد. افراد سیگاری، مسن یا مبتلا به دیابت، بیشتر از سایرین در معرض عوارض بعد از جراحی قرار دارند. سایر عوارضی که معمولاً نادر هستند، عبارتاند از:
- آرتروز: شکستگیهایی که مفاصل را درگیر کرده باشند، ممکن است سالها بعد منجر به آرتروز مچ پا شوند. اگر مدتها بعد از شکستگی و ترمیم آن، دردهایی در ناحیه مچ احساس کردید، حتماً به پزشک مراجعه کنید.
- عفونت استخوان (استئومیلیت): اگر حین آسیب، استخوان شکسته، پوست را پاره کرده و از آن خارج شود، ممکن است در معرض باکتریهایی قرار گیرد که باعث عفونت استخوان شوند.
- سندرم کمپارتمان: سندرم کمپارتمان، زمانی ایجاد میشود که فشار بافت در عضو آسیبدیده، افزایش یابد و دردهای شدیدی در پی آن به وجود آید. این افزایش فشار باعث کاهش اکسیژنرسانی به عصبها و عضلات میشود و در صورت عدم انجام اقدامات بهموقع، ممکن است آسیبهای دائمی در آنها پدید آید. این سندرم جزو عوارض نادر شکستگی مچ پا است.
- آسیب به عصب و عروق خونی: ضربه به مچ پا میتواند به اعصاب و رگهای خونی آن ناحیه آسیب وارد کند. اگر متوجه بیحسی یا سوزنسوزن شدن در ناحیه پا شدید، فوراً به پزشک مراجعه کنید. کاهش جریان خون، میتواند به ازبینرفتن استخوان و مرگ آن منجر شود.

تشخیص شکستگی مچ پا
مهمترین و اصلیترین گزینه برای تشخیص شکستگی قوزک پا، عکس رادیولوژی ایکس ری است. در عکس شکستگی مچ پا، صرفاً بافتهای استخوانی قابل رویت است؛ بنابراین برای تشخیص پیچ خوردگی یا شکستگیهای بسیار کوچک باید از تصویربرداریهایی با جزئیات بیشتر مثل MRI و سیتیاسکن استفاده شود.
معاینات فیزیکی و بررسی علائمی مانند تورم، کبودی، حساسیت و درد بسیار شدید، عدم توانایی در راه رفتن و خارج شدن فرم پا از حالت عادی نیز، میتواند به تشخیص کمک کند؛ اما همچنان عکس رادیولوژی ایکس ری رایجترین راه برای تشخیص است.
درمان شکستگی مچ پا
همانطور که اشاره کردیم، آسیبهای مختلفی میتواند در ناحیه پا ایجاد شود؛ بنابراین لازم است که روش درمان متناسب با نوع آسیب باشد. در این قسمت میخواهیم به درمانهای مختلفی اشاره کنیم که برای انواع شکستگیها و آسیبهای مچ پا کاربرد دارند:
- یخ: برای کاهش میزان درد و تورم که بلافاصله بعد از شکستگی رخ میدهد، یخ راهحل مناسبی است. یخ را داخل حولهای قرار دهید و روی نقطه آسیبدیده بگذارید.
- استفاده از آتل یا گچ: شکستگیهای خفیف مچ پا را میتوان با آتل یا گچ درمان کرد، آتل و گچ باعث ثابت نگهداشتن استخوان و پا میشوند. در شکستگیهای شدیدتر، بعد از جراحی باید از گچ و آتل استفاده کنید.
- عصا: استفاده از عصا به شما کمک میکند تا بدون اینکه پای آسیبدیدهتان وزن بدن را تحمل کند، راه بروید. استفاده همزمان از عصا با گچ یا آتل، روند بهبودیتان را سرعت میبخشد.
- ریداکشن: اگر استخوان شکسته شما از موقعیت صحیح خود خارج شود، ممکن است پزشک بخواهد بدون جراحی آن را به موقعیت صحیح برگرداند. به این درمان غیر جراحی، ریداکشن گفته میشود. ممکن است، پزشکتان قبل از ریداکشن، شلکنندههای عضلانی، داروی آرامبخش یا بیهوشی عمومی تزریق کند.
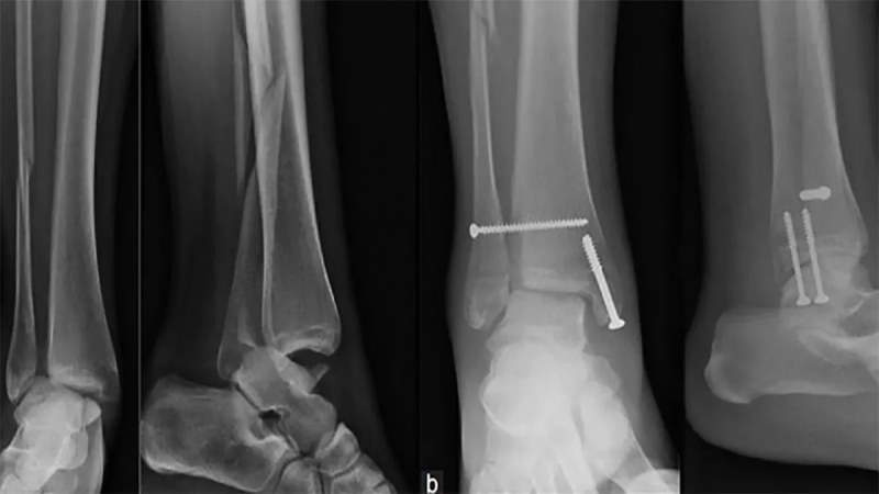
- جراحی: در موارد شدیدتر، پزشک طی عمل جراحی از میلهها، پیچ یا صفحات فلزی برای تراز مجدد استخوان استفاده میکند تا در طی بهبودی، استخوانها در وضعیت صحیح قرار بگیرند و جوش بخورند.

اقدامات پس از درمان شکستن مچ پا
اگر حدس میزنید که مچ پایتان شکسته است، در اولین اقدام، وزنتان را از روی پای آسیبدیده حذف کنید. مچ پا را بالاتر نگه دارید. میتوانید از یک بالشت برای بالا نگهداشتن پا استفاده کنید. روی محل آسیبدیده یخ بگذارید تا درد و ورم کاهش پیدا کند. اگر خونریزی دارید با یک دستمال تمیز، محل خونریزی را پانسمان کنید تا خون بند بیاید و در اولین فرصت به بیمارستان مراجعه کنید.
در دوران بهبودی نیز، عمل به توصیههای پزشکتان بسیار مهم است؛ زیرا در درمانتان مؤثر است. موارد زیر، نکاتی است که با رعایت آنها میتوانید یک قدم به بهبودی نزدیکتر شوید:
- تا زمانی که پزشکتان اجازه نداده، وزنتان را روی پای آسیبدیده نیندازید و تا حد امکان سعی کنید راه نروید.
- از ورزش کردن یا حمل کردن وسایل سنگین خودداری کنید.
- زمانی که استخوانها شروع به بهبودی میکنند، ممکن است پزشکتان، فیزیوتراپی تجویز کند. فیزیوتراپی در تقویت مچ پا نقش بسزایی دارد.
- تغذیه سالم داشته باشید. مانند تمامی آسیبها، مچ پای شکسته هم برای بهبودی به مواد مغذی نیاز دارد.
- از سیگار کشیدن خودداری کنید. سیگار روند بهبودی استخوان را کند میکند؛ زیرا دود سیگار دارای موادی است که توانایی بدن برای ساخت بافتهای استخوانی را مختل میکند.
- مطابق دستورالعمل پزشکتان برای معاینات منظم به مطب مراجعه کنید تا از روند صحیح بهبودیتان اطمینان حاصل کنید.
تفاوت علائم شکستن مچ پا با پیچ خوردن پا چیست؟
پیچ خوردن مچ پا با شکستگی آن متفاوت است. پیچ خوردن در واقع کشیده شدن یا پاره شدن رباطهای پا است (رباطها استخوانهای مختلف را به یکدیگر وصل میکنند). درد و تورم، اصلیترین علامت پیچ خوردگی هستند. نوع پیچ خوردگی، شدت درد و تورم را تعیین میکند. در پیچ خوردگیهای درجه یک، فقط کمی تورم را تجربه خواهید کرد؛ اما اگر آسیب به رباط از نوع درجه سه باشد، با تورم زیادی روبرو خواهید شد. حتی ممکن است نتوانید وزنتان را روی پایتان بیندازید یا راه بروید.
پیچ خوردن، اگر دردناکتر از شکستگی نباشد، دردش کمتر از آن هم نیست. تنها راه تشخیص شکستگی از پیچ خوردن، معاینه توسط متخصص مچ پا است. برای تشخیص آسیب، ممکن است پزشک بررسیهای مختلف زیر را انجام دهد:
- معاینه فیزیکی: پزشک، میزان تورم و حساسیت مچ پایتان را بررسی میکند. اگر حساسیت روی رباطها باشد بهاحتمال زیاد پیچخوردگی اتفاق افتاده است و اگر حساسیت روی استخوان باشد، کفه ترازو به نفع شکستگی است. دامنه حرکتی پا هم در معاینات فیزیکی بررسی میشود.
- تصویربرداری اشعه ایکس ری: تصویر رادیولوژی، میزان و نوع شکستگی را بهخوبی نشان میدهد.
- تست استرس: تست استرس، نشان میدهد که آیا مچ پیچ خورده نیاز به جراحی دارد یا خیر. در این تست، پزشک روی مچ پایتان فشار وارد میکند و همزمان عکس رادیولوژی میگیرد؛ اگر مفصل باز شود، نشان از پارگی درجه سه دارد که باید با جراحی ترمیم شود.
- سیتیاسکن: با گرفتن سیتیاسکن از مچ پا، میتوان به اطلاعات کاملتری دست پیدا کرد.
- MRI: در MRI از میدان مغناطیسی و امواج رادیویی برای نشاندادن استخوانها و بافتها اطراف استفاده میشود. با این روش، میتوان شکستگیها ریزی را که در اشعه ایکس مشخص نمیشود، پیدا کرد. همچنین میتوان پارگی رباطها را هم تشخیص داد.

مطالعه بیشتر: در رفتگی مچ پا؛ علائم ،علت و راه های درمان
شکستگی مچ پا چقدر طول می کشد؟
مدتزمان لازم برای جوش خوردن شکستگی مچ پا، به عوامل مختلفی از جمله میزان و شدت آسیب دیدگی، سن و سلامت کلی شما بستگی دارد؛ اما بهطورکلی، 6 تا 12 هفته زمان نیاز است تا شکستگی قوزک پا ترمیم شود. اگر میزان شکستگی جزئی باشد و نیازی به انجام جراحی نباشد، ظرف مدت 6 هفته پایتان بهبود مییابد؛ اما در صورت انجام جراحی، زمان بهبودی شما تا 12 هفته هم طول میکشد. افرادی که سن بالایی دارند، معمولاً مدتزمان لازم برای بهبودیشان بیشتر از افراد جوانتر است.
سخن پایانی
روند بهبودی شکستگی مچ پا بسته به میزان و شدت آسیب ممکن است طولانی شود. باید صبور باشید تا این دوران بهخوبی طی شود و به فعالیتهای روزمرهتان برگردید. در این زمان، بیشتر از قبل به تغذیه خود توجه کنید و از تمام گروههای غذایی استفاده کنید. پزشک معتمد و دلسوز میتواند در طول دوره درمان در آرامش شما نقش بسزایی داشته باشد.
ما در کلینیک نیاوران با کمک پزشکان و پرسنل مجرب حاضر در مرکز، آماده خدمترسانی به شما هموطنان عزیز هستیم. در مرکز درمانی ما از بهروزترین تجهیزات و روشهای درمانی استفاده میشود تا انواع آسیبها درمان شوند. برای کسب اطلاعات بیشتر و تعیین نوبت با ما تماس بگیرید.
سوالات متداول
- چگونه بفهم مچ پایم شکسته یا فقط پیچ خورده است؟
شکستگی مچ پا معمولاً با درد شدید، تورم، تغییر شکل ظاهری و ناتوانی در تحمل وزن همراه است. درحالیکه پیچخوردگی بیشتر باعث تورم و کبودی میشود اما معمولاً تغییر شکل ایجاد نمیکند. برای تشخیص قطعی، مراجعه به پزشک و انجام رادیوگرافی ضروری است.
- درمان شکستگی قوزک پا چقدر طول میکشد؟
مدتزمان بهبودی شکستگی مچ پا بسته به شدت شکستگی متفاوت است. در شکستگیهای ساده، معمولاً بین 6 تا 8 هفته زمان لازم است، اما در موارد پیچیدهتر که نیاز به جراحی دارند، ممکن است تا چندین ماه طول بکشد. فیزیوتراپی نیز برای بازیابی قدرت و انعطافپذیری مچ پا توصیه میشود.
- آیا بعد از شکستن مچ پا میتوانم مثل قبل راه بروم؟
بله، در بیشتر موارد بیماران پس از بهبودی کامل و انجام تمرینات توانبخشی، میتوانند به فعالیتهای عادی خود بازگردند. بااینحال، در برخی موارد ممکن است سفتی یا ضعف جزئی باقی بماند که با فیزیوتراپی بهبود مییابد. رعایت توصیههای پزشک و اجتناب از فشار زودهنگام روی مچ پا بسیار مهم است.

سلام . پدر بنده دیابت دارند و گرافی نشون داده مفصل قوزک پا خورد شده ولی بافت سالم و عضو زنده و گرم است ولی بهش گفتن باید از مچ قطع بشه ! میشه لطفا نظر شما را بدونم ؟